Our Smile Gallery & Sucess Stories In London, ON
Explore before-and-afters and read short stories from patients who have partnered with us to refresh, repair, or straighten their smiles.
Discover what's possible - and then plan your own path with our team!
Browse Our Gallery
Success Stories
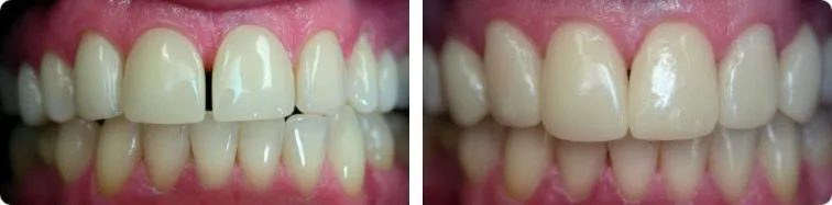
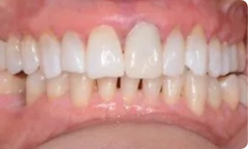
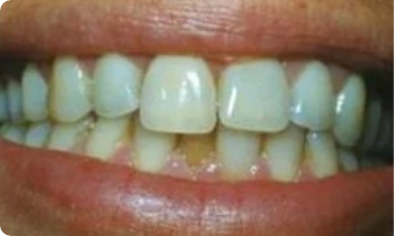
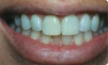
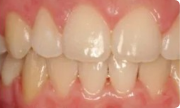
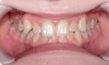
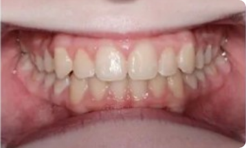
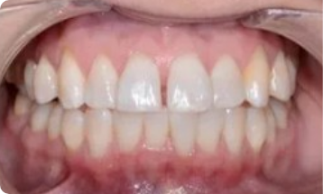
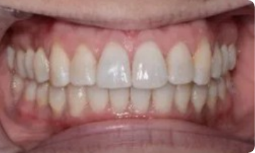
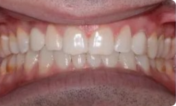
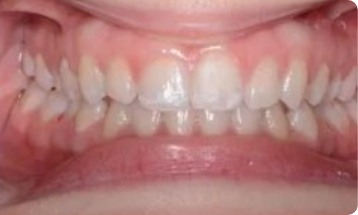
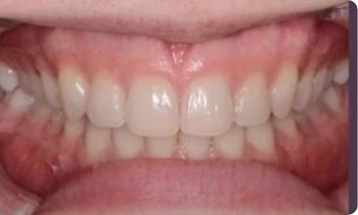
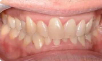
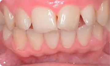
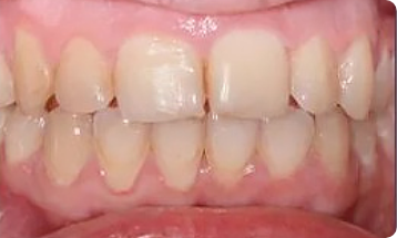
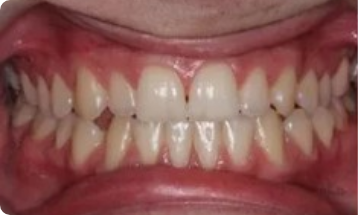
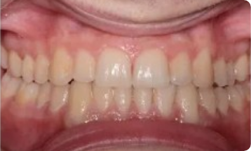
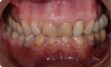
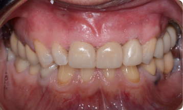
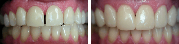
Marie Hanson: “From Self-Conscious To Confident”
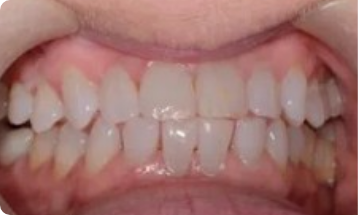
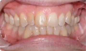
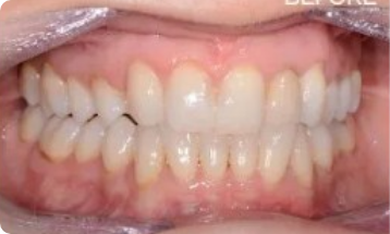
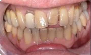
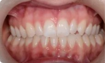
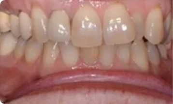
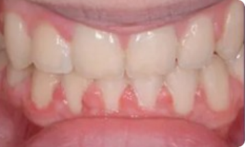
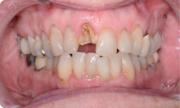
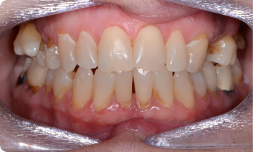
At our practice, we take great pride in transforming our patients' smiles and boosting their confidence. One of our remarkable success stories is that of Marie Hanson, who came to us with a concern that many can relate to—she had a noticeable space between her two front teeth that made her feel self-conscious.
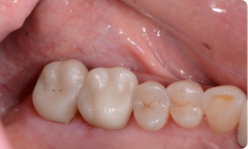
Marie expressed how this gap had always bothered her, impacting her willingness to smile in social settings. After a thorough consultation, Dr. Spagnuolo recommended a treatment plan involving six crowns to effectively correct the spacing issue. Understanding that comfort is paramount, he assured Marie that the procedure would be painless due to local anesthesia.
The day of the treatment arrived, and Marie experienced no discomfort at all during the procedure. Thanks to Dr. Spagnuolo’s expertise, the process went smoothly, and Marie left our office feeling hopeful and excited about her new smile.
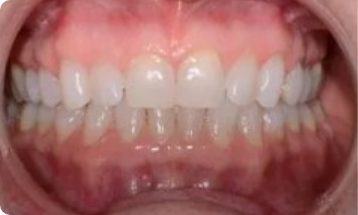
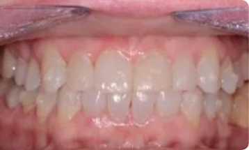
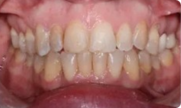
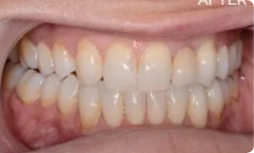
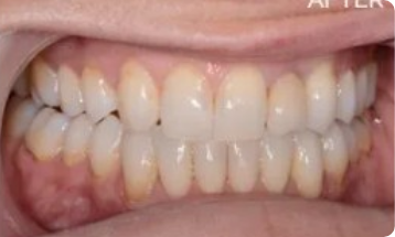
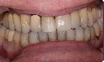
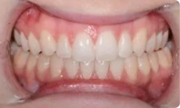
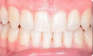
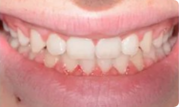
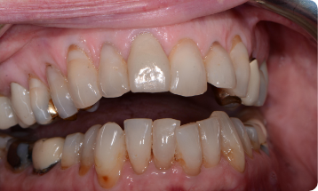
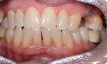
Years have passed since Marie’s crowns were placed, and we are thrilled to report that the space has not returned. Marie often shares with us how her life has changed for the better. With her newfound smile, she feels more confident and happier, radiating joy in both her personal and professional interactions.
Marie has expressed her gratitude to Dr. Spagnuolo for the wonderful job he did. She highly recommends this procedure to anyone dealing with similar issues, emphasizing the tremendous impact it has had on her life.
Before
After

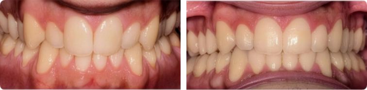
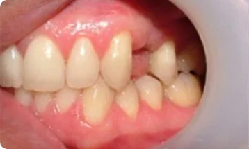
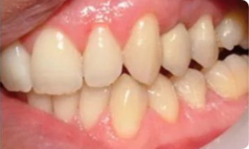
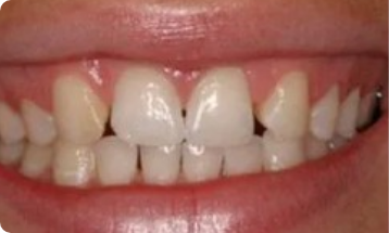
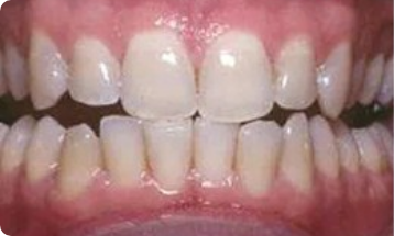
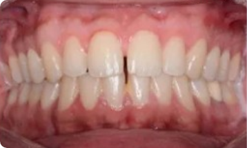
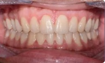
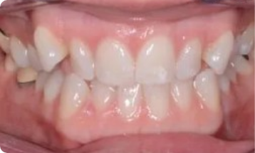
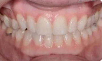
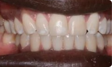
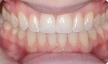
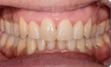
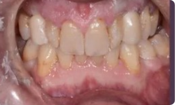
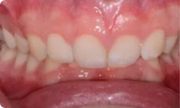
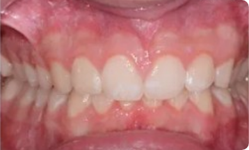
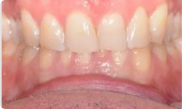
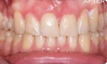
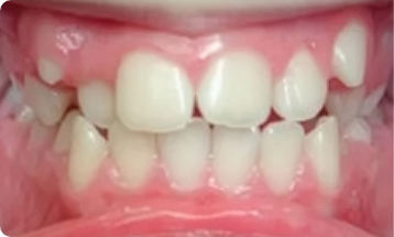
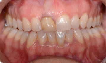
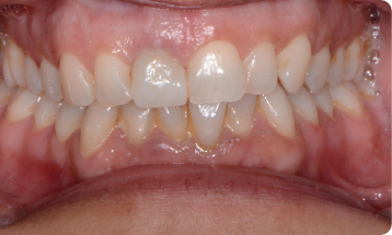
Tibi: “11 Months, Wedding-Day Ready”
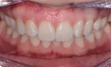
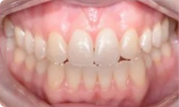
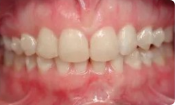
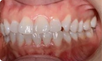
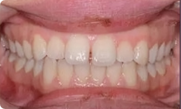
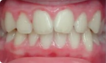
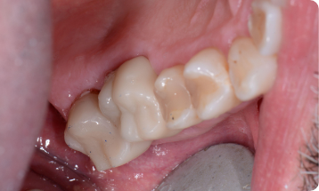
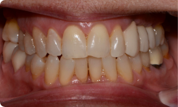
Tibi had always felt self-conscious about his smile due to crooked teeth. After watching several friends and family members successfully transform their smiles with Invisalign, he decided to move forward with treatment. “I wanted a change,” he said. “I wasn’t happy with how my teeth looked, and I had seen others go through Invisalign and was impressed by their results, so I decided to explore it for myself.”
When Tibi began his journey, he was prepared for a bit of an adjustment. "Wearing the aligners felt strange at first," he admits. "Eating with them in was different, and I needed to be mindful of what I consumed to avoid stains." However, he quickly adapted to the routine. While the initial discomfort from new aligners was noticeable, it didn't last long. Tibi appreciated the support from the We Smile Dentistry team, which kept him on track with timely aligner updates. A particularly memorable moment for him was when the staff went out of their way to remove his attachments just before his wedding, ensuring that he could smile confidently in his photos.
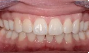
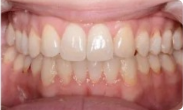
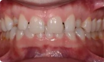
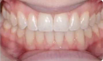
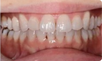
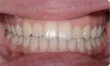
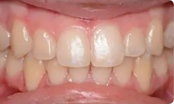
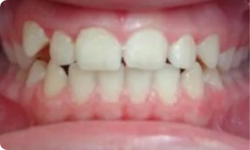
After less than a year of treatment – 11 months and 21 days, to be exact – Tibi was thrilled to see his final results. “Now, I feel much more comfortable showing my teeth,” he says. Friends and acquaintances have noticed the transformation, often complimenting him on his new smile. Tibi says his orthodontic experience at We Smile Dentistry has changed how he views himself and has significantly boosted his self-confidence!
Before
After


IN NEED OF CARE? SCHEDULE YOUR VISIT TODAY!











































































































